Trí tuệ nhân tạo có thể điều trị u não nhanh và chính xác hơn
Thứ Hai, 10/07/2023, 09:09
Zalo
Theo nghiên cứu vừa được công bố của Trường Y Harvard, một công cụ trí tuệ nhân tạo (AI) mới có thể giúp các bác sĩ phẫu thuật thần kinh điều trị các khối u não.
Trí tuệ nhân tạo có thể điều trị u não nhanh và chính xác hơn
Theo nghiên cứu vừa được công bố của Trường Y Harvard, một công cụ trí tuệ nhân tạo (AI) mới có thể giúp các bác sĩ phẫu thuật thần kinh điều trị các khối u não.
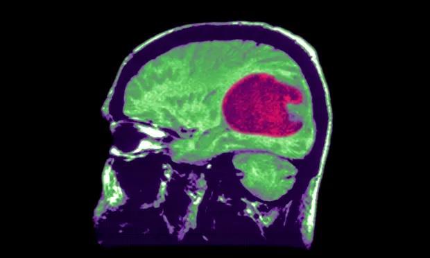
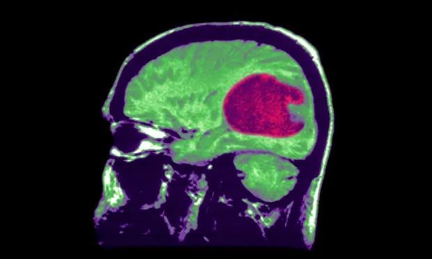
Ảnh chụp X-quang cho thấy khối u thần kinh đệm - khối u não phổ biến nhất ở bệnh nhân ung thư. Ảnh: Getty Images
Trang The Guardian (Anh) đưa tin trong nhiều thập kỷ qua, các nhà nghiên cứu khoa học thần kinh đã phải vật lộn để tìm hiểu về u thần kinh đệm - các khối u nguyên phát bắt nguồn từ nhu mô não, phổ biến nhất ở bệnh nhân ung thư. Loại u thần kinh đệm đặc biệt nguy hiểm này cũng là nguyên nhân gây ra cái chết của con trai Tổng thống Mỹ Joe Biden là Beau Biden và thượng nghị sĩ bang Arizona John McCain.
Ông Kun-Hsing Yu, Giáo sư tại Trường Y Harvard, người hỗ trợ nghiên cứu, cho biết: “Các loại u thần kinh đệm khác nhau yêu cầu các phương pháp phẫu thuật khác nhau”.
Để loại bỏ u thần kinh đệm một cách an toàn mà không làm tổn thương mô não xung quanh, các bác sĩ giải phẫu thần kinh cần rất nhiều thông tin mà thường chỉ có khi bệnh nhân lên bàn mổ.
“Khi phẫu thuật cho bệnh nhân ung thư não, các bác sĩ sẽ gửi một mẫu bệnh phẩm đến phòng thí nghiệm bệnh lý để lấy phản hồi ngay lập tức. Tại đây, một chuyên gia sẽ giúp các bác sĩ xác định liệu họ có đang cắt đúng mô hay không, và bệnh nhân mắc phải loại ung thư cụ thể nào”, ông Yu giái thích.
Theo ông, trong các cơ sở y tế hiện đại, một chuyên gia thường hoàn thành việc phân tích mẫu mô não của bệnh nhân trong vòng 10 đến 15 phút. Công việc này chỉ được thực hiện sau khi các bác sĩ mổ hộp sọ của bệnh nhân trên bàn phẫu thuật. Song ông Yo cho biết quá trình này không phải lúc nào cũng diễn ra suôn sẻ. Các chuyên gia phải tập trung cao độ, ưu tiên phân tích các mẫu bệnh phẩm của các ca phẫu thuật đang diễn ra.
“Một số người rất áp lực và chất lượng của ca phẫu thuật đôi khi không hiệu quả. Vì vậy, đôi khi có những chẩn đoán sai phát sinh từ quá trình diễn ra nhanh chóng này”, ông nói.
Giáo sư Yu và nhóm của ông đã phát hiện ra rằng học máy (một lĩnh vực của trí tuệ nhân tạo mà hệ thống “học” tự động từ dữ liệu để giải quyết những vấn đề cụ thể) có thể giúp phân tích u thần kinh đệm nhanh và chính xác hơn. Công nghệ này sẽ giảm bớt thời gian phẫu thuật cho bệnh nhân trong phòng mổ.
Tiến sĩ Dan Cahill, bác sĩ giải phẫu thần kinh tại Bệnh viện Đa khoa Massachusetts, cho biết độ chính xác của công cụ học máy mới rất ấn tượng, chắc chắn tốt hơn nhiều các kỹ thuật phân tích cấu tạo phân tử của u thần kinh đệm truyền thống. Song ông Cahill lưu ý rằng phương pháp phẫu thuật tối ưu này sẽ khác nhau ở mỗi bệnh nhân, tuỳ thuộc vào loại u thần kinh đệm.
Học máy có thể gợi ý phương pháp mà các bác sĩ có thể sử dụng trong điều trị ung thư não. Một trong những phương pháp đáng tin cậy nhất để điều trị u thần kinh đệm là tiêm thuốc u trực tiếp vào não tiêu diệt khối u trong quá trình phẫu thuật. Ông Yu và các đồng nghiệp tin rằng công nghệ này cũng có thể giúp xác định mức độ xâm lấn của một khối u cụ thể. Từ đó, các bác sĩ có thể quyết định tiêm thuốc nhanh chóng và tự tin.
Theo ông Yu, công nghệ trong nghiên cứu mới chưa sẵn sàng để sử dụng lâm sàng trong vài năm tới. Công cụ này vẫn cần được Cục Quản lý Thực phẩm và Dược phẩm Mỹ “bật đèn xanh”.
Nhưng nghiên cứu của Trường Y Harvard không phải là điều hoàn toàn mới lạ. Trước đó, các nhà khoa học ở Anh cũng xem trí tuệ nhân tạo như một công cụ để cải thiện điều trị và phát hiện ung thư.
Đầu năm nay, nhóm các nhà nghiên cứu y khoa ở London đã phát triển công cụ trí tuệ nhân tạo có thể xác định liệu các khối u bất thường được tìm thấy trên phim chụp CT có phải là ung thư hay không.
Cũng tại London, Công ty khởi nghiệp phần mềm Kheiron Medical Technologies, do nhà khoa học máy tính người Hungary Peter Kecskemethy đồng sáng lập, đã phát triển các công cụ AI để giúp các bác sĩ X quang phát hiện ung thư vú.
“Chúng ta cần AI để phát hiện bệnh ung thư và căn bệnh này có thể được điều trị bằng AI”, ông Kecskemethy nói.