Phương pháp giúp phát hiện người mắc Covid-19 không cần xét nghiệm
Thứ Hai, 14/03/2022, 06:01
Zalo
Trong việc chẩn đoán và điều trị người bệnh Covid-19, việc sử dụng hình chụp X-quang là phương pháp chẩn đoán hình ảnh dễ tiếp cận.
Phương pháp giúp phát hiện người mắc Covid-19 không cần xét nghiệm
Trong việc chẩn đoán và điều trị người bệnh Covid-19, việc sử dụng hình chụp X-quang là phương pháp chẩn đoán hình ảnh dễ tiếp cận.
Theo một nghiên cứu mới đây được đăng trên Medical Daily, để phát hiện và điều trị cho người nghi mắc Covid-19, việc đầu tiên là phải xác định họ có thực sự bị nhiễm virus hay không.
Thông thường, việc xác định một người có thực sự nhiễm SARS-CoV-2 hay không cần thông qua xét nghiệm rRT-PCR. Việc xét nghiệm này phải được thực hiện trong các phòng thí nghiệm và cần có nguồn nhân lực lớn.
Bên cạnh đó, quy trình thực hiện xét nghiệm rRT-PCR thường mất nhiều thời gian (khoảng 2 giờ hoặc hơn) để đưa ra được kết quả chính xác. Trong nhiều trường hợp, việc xác định một người có mắc Covid-19 hay không cần phải nhanh hơn thế, đặc biệt là những bệnh nhân tiên lượng nặng cần được điều trị ngay lập tức. Việc chẩn đoán nhanh chính là yếu tố mang tính quyết định.
Từ các yếu tố trên, nhóm nghiên cứu của các trường Đại học Tây Scotland và Đại học Durham đã tìm kiếm các phương pháp nhanh chóng và có thể thay thế cho PCR bằng cách sử dụng những thiết bị sẵn có tại bệnh viện, đặc biệt là máy chụp X-quang.
Các dấu hiệu Covid-19 có trong hình chụp X-quang
Công nghệ chụp cắt lớp vi tính (CT) hay X-quang có thể giúp các bác sĩ phân tích, tìm kiếm dấu vết của Covid-19 bằng hình ảnh.
Một số cuộc nghiên cứu ngay từ giai đoạn đầu của đại dịch cũng cho thấy trong hình ảnh chụp X-quang lồng ngực của bệnh nhân nhiễm virus có những điểm bất thường.
Trên cơ sở đó, Tổ chức Y tế Thế giới (WHO) đã khuyến nghị sử dụng công nghệ chụp X-quang để chẩn đoán bệnh nhân mắc Covid-19 khi chưa có điều kiện xét nghiệm rRT-PCR, đặc biệt đối với những bệnh nhân có triệu chứng nặng.
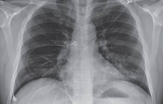
Hình ảnh lưới và đông đặc nền phổi hai bên trên X-quang phổi thẳng của bệnh nhân Covid-19. (Ảnh: BVTWQĐ108).
Tuy nhiên, việc sử dụng công nghệ X-quang cũng cần đòi hỏi nguồn nhân lực y tế. Các bác sĩ chẩn đoán cần có chuyên môn, phân tích hình ảnh kỹ lưỡng bởi các dấu hiệu mắc Covid-19 thường khó phát hiện. Do đó, nhóm nghiên cứu đã phát triển một chương trình sử dụng trí tuệ nhân tạo để thực hiện việc chẩn đoán nhanh chóng hơn.
Chương trình này được xây dựng dựa trên một thuật toán thường được dùng để nhận dạng và phân tích hình ảnh. Thuật toán này có thể lọc ra các điểm nổi bật trong ảnh và phân loại hình ảnh theo các điểm tương đồng và khác biệt.
Quá trình nghiên cứu đã sử dụng dữ liệu khoảng 3.000 ảnh chụp X-quang (số dữ liệu này trộn lẫn cả ảnh của người mắc Covid-19, người khỏe mạnh và người bị viêm phổi do virus).
Từ đó, các nhà nghiên cứu đã chọn lọc một thuật toán có hiệu quả vượt trội. Tiếp đó, họ đưa vào thuật toán một bộ ảnh chụp X-quang hoàn toàn mới và lọc tìm các bệnh nhân mắc Covid-19, kết quả chính xác tới 98,04%.
Cách sử dụng
Từ kết quả trên, các nhà nghiên cứu đã tiếp tục phát triển một ứng dụng có thể sử dụng bên ngoài phòng thí nghiệm. Ứng dụng này không cần nhiều bộ nhớ trong máy tính hoặc nguồn điện để vận hành. Do đó, nó có thể được cài đặt trên máy tính cá nhân hay máy tính xách tay thông thường.
Ứng dụng này cũng được thiết kế mà không cần thêm bất kỳ thiết bị nào hỗ trợ khác. Hình chụp X-quang của bệnh nhân chỉ cần đưa lên ứng dụng qua USB hoặc trang web, tiếp đó thuật toán sẽ tự động phân tích hình ảnh và trả lại kết quả xác nhận xem họ có mắc Covid-19 hay không.
Biện pháp này sẽ không thay thế được hoàn toàn xét nghiệm PCR. Tuy nhiên, điều đó sẽ đem lại nhiều hiệu quả trong tình huống cấp cứu những bệnh nhân nặng. Ứng dụng sẽ cho phép nhanh chóng chụp ảnh X-quang lồng ngực và phân tích hình ảnh. Nếu bệnh nhân mắc Covid-19, họ sẽ được điều trị ngay lập tức thay vì đợi kết quả của phòng thí nghiệm.
Thời gian tới, nhóm nghiên cứu sẽ thử nghiệm công nghệ mới tại Pakistan để đánh giá mức độ hiệu quả trên thực tế.