Các bệnh răng miệng hay gặp
1. Răng nhạy cảm
Tình trạng răng nhạy cảm có thể là dấu hiệu cho thấy răng bạn đang gặp các vấn đề như mòn cổ chân răng, răng bị nứt mẻ, áp xe răng,…
Răng nhạy cảm là vấn đề xảy ra với hàng triệu người. Với các biểu hiện răng ê buốt, khó chịu khi ăn đồ ngọt, thực phẩm quá nóng hoặc quá lạnh.
Vấn đề răng nhạy cảm thậm chí còn xảy ra ngay cả khi đánh răng hoặc sử dụng chỉ nha khoa. Vì vậy, khi có biểu hiện này hãy đến cơ sở y tế để được bác sĩ nha khoa có phương pháp điều trị thích hợp.
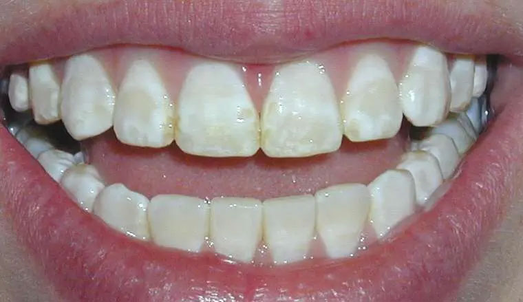
|
| Tình trạng mòn, mất men răng. |
2. Tình trạng mòn, mất men răng
Tình trạng mòn, mất men răng xảy ra khi men răng bị mài mòn, tổn thương bởi axit. Thói quen thường xuyên tiêu thụ những thực phẩm nhiều đường, nước ngọt có gas, hoa quả trái cây chua, thói quen ăn đồ dai cứng,… sẽ hình thành môi trường axit trong khoang miệng làm mài mòn men răng.
Hoặc trường hợp chải răng quá mạnh, chải răng theo chiều ngang, tật nghiến răng khi ngủ hoặc mắc bệnh trào ngược dạ dày thực quản cũng là tác nhân gây mòn men răng.
Lúc này, răng miệng của người bệnh thường rất nhạy cảm với nhiệt độ, thực phẩm ngọt. Mặt khác, răng còn có dấu hiệu đổi sang màu ngà.
Nếu gặp tình trạng mòn, mất men răng, người bệnh có thể khắc phục bằng phương pháp trám răng hoặc bọc răng sứ rất tốn kém, vì vậy việc phát hiện sớm bệnh răng miệng để có biện pháp điều trị kịp thời tránh tình trạng bệnh nặng hơn.
3. Sâu răng
Sâu răng là tình trạng hay gặp, đây là tình trạng mà các tổ chức cứng của răng bị tổn thương, hình thành những lỗ sâu lớn nhỏ khác nhau. Sâu răng ở mức độ nhẹ thường không gây đau nhức. Khi bệnh tiến triển đến giai đoạn nặng hơn, làm tủy răng bị viêm sẽ hình thành những cơn đau nhức dữ dội.
Sâu răng có thể xảy ra ở bất kỳ độ tuổi, giới tính nào nếu răng miệng không được làm sạch đúng cách. Do đó, chải răng kỹ càng, sạch sẽ, thường xuyên dùng chỉ tơ nha khoa và nước súc miệng là biện pháp hàng đầu nếu muốn ngăn ngừa bệnh sâu răng.
4. Viêm nha chu
Các triệu chứng điển hình của bệnh viêm nha chu là hôi miệng, nướu phì đại, tấy đỏ, chảy máu chân răng,… Nếu phát hiện bất kỳ dấu hiệu nào của bệnh nha chu, nên đến gặp bác sĩ nha khoa sớm để điều trị kịp thời và ngăn ngừa những biến chứng nguy hiểm có thể xảy ra.
Nguyên nhân của viêm nha chu là tình trạng cao răng tích tụ lâu ngày nếu không được kiểm soát. Đây được xem là một dạng nhiễm trùng nướu nghiêm trọng gây tổn thương mô mềm, phá hủy xương xung quanh răng và thậm chí là mất răng hàng loạt.
Yếu tố làm tăng nguy cơ gây bệnh viêm nha chu có thể kể đến như việc thực hiện chăm sóc răng miệng kém, thói quen hút thuốc lá, thay đổi nội tiết tố, tuổi tác,…
5. Viêm tủy răng
Răng bị viêm tủy không thể tự lành được. Việc chậm trễ điều trị còn khiến tình trạng nhiễm khuẩn lan rộng, tiến triển thành những ổ viêm ở chân răng, nguy cơ mất răng là rất cao.
Khi tủy răng bị viêm gây ra những cơn đau nhức dữ dội, nhất là vào ban đêm. Tác nhân dẫn đến tình trạng viêm tủy răng thường gặp nhất là do sâu răng không điều trị kịp thời. Vi khuẩn sâu răng tồn tại trong miệng, xâm nhập vào tủy răng và gây viêm.
Do đó, để không xảy ra những biến chứng nguy hiểm, người bệnh nên nhanh chóng đến cơ sở y tế có chuyên khoa răng hàm mặt uy tín để được can thiệp điều trị sớm.
6. Ung thư miệng – hàm mặt
Theo thống kê ung thư miệng là một trong những bệnh về răng miệng nguy hiểm, phổ biến ở những người trên 40 tuổi. Mặc dù nguy cơ gây tử vong cao nhưng bệnh có thể chữa khỏi nếu kịp thời chẩn đoán và điều trị trong giai đoạn đầu.
Bệnh ung thư miệng thường đi kèm với những triệu chứng như cảm giác vướng trong miệng, khó nói, tăng tiết nước bọt, khạc ra đờm nhầy có lẫn với máu,… Đặc biệt, khi nhai thức ăn, lưỡi và quai hàm của bạn rất khó di chuyển.
Những yếu tố làm tăng nguy cơ mắc bệnh ung thư miệng là thói quen uống rượu bia, hút thuốc lá hoặc virus HPV, ăn trầu. Việc thăm khám sức khỏe định kỳ đóng vai trò quan trọng, giúp phát hiện những dấu hiệu ban đầu của ung thư miệng và có phương án điều trị kịp thời.
Tương tự, ung thư răng cũng là một bệnh nguy hiểm, thường xảy ra với những người có thói quen hút thuốc lá và uống nhiều rượu bia. Bệnh ung thư răng nếu phát hiện sớm có thể chữa khỏi với tỷ lệ sống trên 5 năm là 83% và có thể không tái phát trong 10 năm.
Dấu hiệu của bệnh ung thư răng là: cơn đau không dứt trong khoang miệng, nướu sưng tấy, màu sắc bất thường, khó khăn khi nhai nuốt, cử động miệng và quai hàm, xuất hiện bướu, hạch ở cổ,…
Chăm sóc vệ sinh răng miệng là một hoạt động cần thiết hàng ngày, để bảo vệ răng miệng cần đánh răng 2 lần/ngày với kem có chứa fluor. Thay bàn chải 2 – 3 tháng/lần hoặc khi bàn chải xơ, hư. Dùng chỉ nha khoa/bàn chải kẽ 1 lần/ngày. Chải lưỡi hằng ngày để loại bỏ vi khuẩn.
Một số đối tượng có nguy cơ sâu răng cao cần điều trị với fluor và dùng nước súc miệng. Chế độ dinh dưỡng hợp lý, tránh các thức ăn có lượng đường nhiều. Tránh xa khói thuốc, kể cả hút thuốc thụ động (hít phải khói người hút lá phả ra) .
Nên thăm khám răng miệng định kỳ, 6 tháng/lần. Khi có các dấu hiệu bất thường cần đi khám bác sĩ ngày như: Nướu sưng, đỏ, chảy máu; khó nhai và nuốt; hơi thở nặng mùi; răng lung lay, chảy máu; đau răng dai dẳng; bị áp xe./.
Theo suckhoedoisong.vn